포트폴리오

  • 전부
  • 데이터 사이언스
  • 웹개발

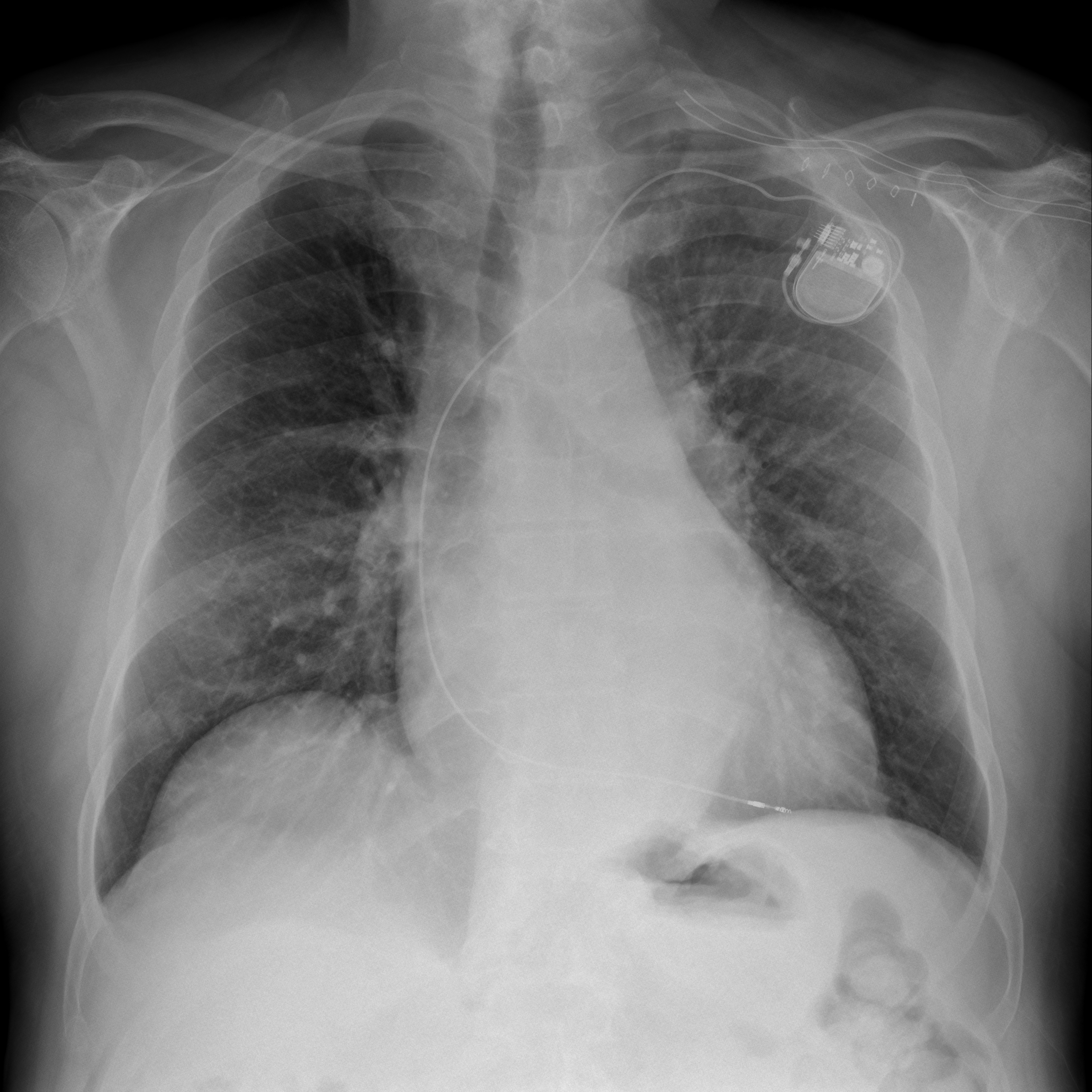
의료 영상 분석기

의료 영상 분석기(MIA) 프로젝트는 PyTorch 및 OpenCV를 활용하여 흉부 방사선 촬영(CR) 영상을 분석하여 의료 진단 및 치료 계획을 향상시키는 데 중점

캐글 노트북

주피터 노트북 형식으로 여러가지의 머신러닝, 딥 러닝 알고리즘 모음

화학 분류

화분자 구조를 기반으로 특정 화합물의 활성 수준을 정확하게 예측

리프핏

사용자의 One Rep Max 무게를 기반으로 웬들러 운동 시트를 생성하는 Django 웹 애플리케이션